Blu Dental & Wellness
Clinton Timmerman, DDS
Home
About
Our Team
Blu Dental & Wellness
Blu Dental & Wellness of Snohomish
Technology
Services
View All
Dental Crowns & Bridges
Emergency Dental Care
Cosmetic Dentistry
General Dentistry
Dental Implants
Veneers
All-on-4 Implants®
Sleep Apnea & Snoring Treatment
Full Smile Makeovers
BOTOX® Aesthetics & TMJ Pain
Health & Wellness Treatments
Facial Aesthetic Treatments
Smile Gallery
Patient Info
View Patient Info
Forms
Financial
FAQs
Blog
Contact
View All
Blu Dental & Wellness
Blu Dental & Wellness of Snohomish
Blu Dental & Wellness
Clinton Timmerman, DDS
Request an Appointment
Leave a Google Review
(360) 659-7983
Blu Dental & Wellness
Snohomish (360) 568-5800
Patient Payment
Blu Dental & Wellness
>
Smile Gallery
>
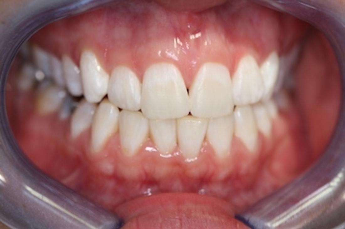
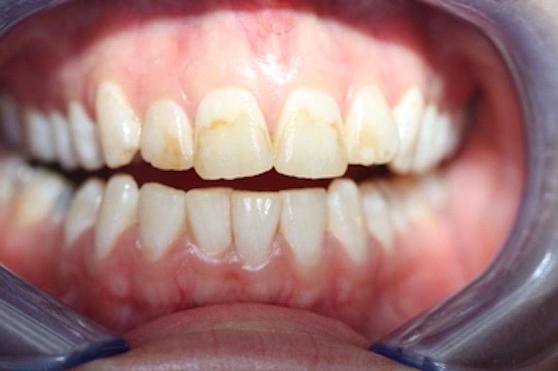
KoR Deep Whitening
KoR Deep Whitening
Return to Smile Gallery
Previous
Click image to see a larger picture
Before
After
Have Questions? Get in Touch
Contact Us
If you have difficulty using our website, please
email us
or call us at
(360) 659-7983
View the
ADA Accessibility Statement
Turn on ADA Views
OK!
×
×
Contact Us Today
Give Us A Call
Blu Dental & Wellness -
(360) 659-7983
Blu Dental & Wellness of Snohomish -
(360) 568-5800
Send Us an Email
Which location?
Blu Dental & Wellness
Blu Dental & Wellness of Snohomish
Request an Appointment
Contact
Ready to Schedule an Appointment?
Request an Appointment
Have Questions? Contact Us:
Required Field
Your Name:
Phone:
Email:
Are you a new patient?:
Are you a?
New Patient
Current Patient
How would you like us to contact you?
Please choose
Email
Call
How did you hear about us?
Please choose
I'm an existing patient
Google/Bing
Mailer
Word of mouth
Social media
Other
Who Referred You?:
Appointment Preferences
Monday
Tuesday
Wednesday
Thursday
Friday
Your Message:
This site is protected by reCAPTCHA and the Google
Privacy Policy
and
Terms of Service
apply.
Sending...
×
This Patient's Experience
Loading Testimonial...
Loading Case...