Blu Dental & Wellness
Clinton Timmerman, DDS

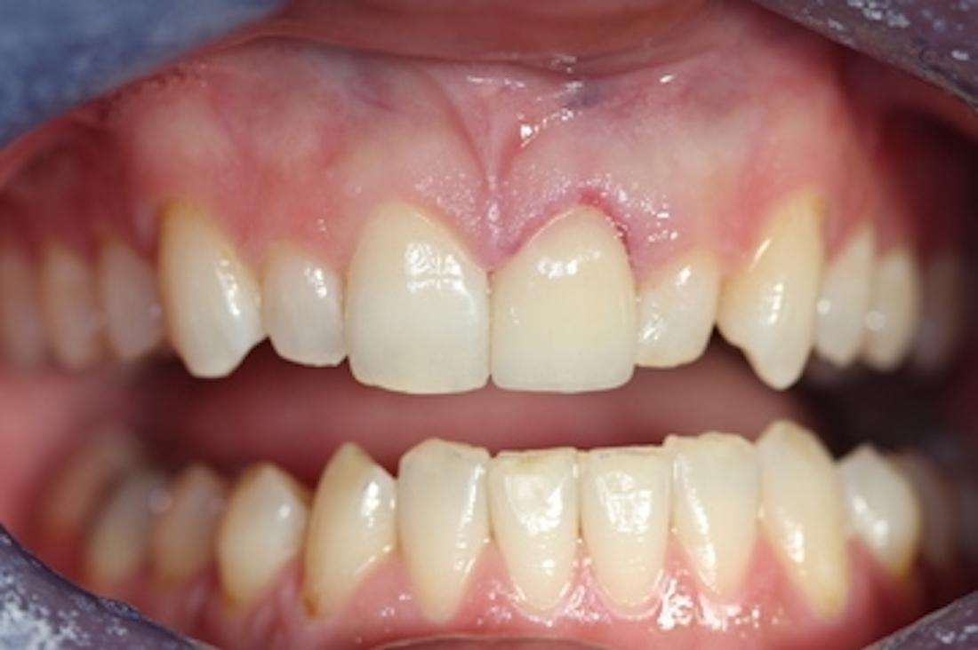
Patient Smile Before and After Veneers and Crowns

This patient presented with lateral incisors that were smaller and causing wear to the adjacent canines. Dr. Timmerman used porcelain crowns and veneers in Marysville, WA, to change the shape, shade, and size of the patient's teeth, resulting in a brighter, more symmetrical smile. 

Now they can chew with ease and smile with confidence!

Want to Learn What's Possible for Your Smile?

Contact your cosmetic dentist in Marysville, WA, at (360) 659-7983 to schedule an evaluation and discover how we can transform your smile.

Related Services:

Dental Crowns & Bridges
Veneers

Service Available At:

Blu Dental & Wellness
Ready to book an appointment?
If you have difficulty using our website, please email us or call us at (360) 659-7983
View the ADA Accessibility Statement